Voici une étude cas de consultation assez classique au cabinet dentaire : ce patient est venu nous voir car une dent sur l’arcade supérieure était très abîmée. Elle était jaune, et présentait un liseré noir sur tout son contour.
Nous lui avons proposé une solution afin de lui permettre de retrouver un sourire sans faille.
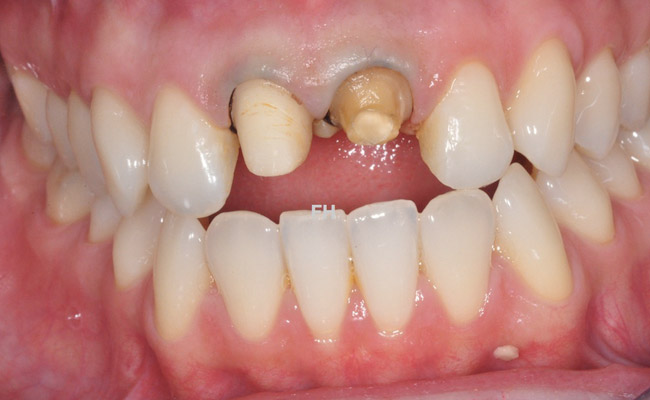
Dent à remplacer suite à un traumatisme
Il s’agit d’un cas qui se présente très classiquement à notre cabinet dentaire : une dent est abîmée – ici, suite à un accident de la vie courante – et il faut la remplacer tout en conservant l’équilibre et l’esthétique du sourire.
Chez ce patient qui avait pourtant une excellente hygiène, la dent abîmée avait effectivement viré au jaune, et on voyait nettement un liseré noir disgracieux sur tout le contour.
Après étude et analyse, les 2 dents de devant de ce patient étaient en réalité abîmées suite à son traumatisme – les dents les plus visibles lorsque l’on sourit. Nous lui avons donc proposé de réaliser 2 prothèses dentaires afin de restaurer parfaitement son sourire.
2 prothèses dentaires en céramique
2 dents provisoires ont tout d’abord été réalisées, afin de permettre à la gencive de cicatriser, puis les 2 prothèses unitaires en céramique (de type Emax) ont été posées.
Cette technique permet de recréer les dents par mimétisme avec les dents d’origine :
- Plus de blancheur
- Plus de luminosité
- Plus de transparence
Photos avant / après mise en place de 2 prothèses dentaires
Le résultat parle de lui-même, jugez plutôt à l’aide des photos prises tout au long du traitement :
- Avant remplacement d’une dent abîmée
- 2 dents abîmées suite à un traumatisme
- Dents provisoires en remplacement des 2 dents abîmées
- Prothèse dentaire sur 2 dents
Nombre de séances au fauteuil : 3
Le sourire de ce patient est toujours aussi parfait plusieurs années après la pose 😉






